At Periodontics Limited, we’re proud to offer Perioscopy, an advanced non-surgical treatment for periodontal (gum) disease. This innovative approach uses enhanced video and magnification technology to visualize and treat areas below the gumline that were once only accessible through surgery. With Perioscopy, we can treat gum disease more comfortably and effectively, helping you achieve healthier gums with less discomfort and downtime.
What Is Perioscopy?

Perioscopy is a modern dental procedure that uses a miniature dental endoscope equipped with lighting and video magnification. The endoscope’s tiny camera is placed below the gumline, projecting a live, high-definition image onto a monitor. This allows your dentist and hygienist to see and clean areas of infection that would otherwise be invisible during traditional root planing procedures.
How Does the Dental Endoscope Work?
A slender fiber-optic camera is attached to a small probe and gently guided beneath the gums. The camera magnifies the area up to 48 times, displaying detailed images of the root surface and surrounding tissues. This enhanced visibility helps us precisely locate and remove calculus (tartar) and infected tissue while preserving healthy tooth structure. Simply put, root planing—which is often performed “blind”—can now be done with vision and accuracy.
Advantages of Perioscopy
The Perioscope eliminates the need for surgery in about 90% of periodontal cases we treat. Patients benefit from:
- Comfortable, non-surgical care
- Faster healing and less post-treatment sensitivity
- Enhanced visibility for more thorough cleaning
- Bone and tissue regeneration potential without grafting
- Lower cost compared to surgical alternatives
Can Surgery Be Avoided?
In many cases, yes. Traditional gum surgery is often recommended for patients with advanced periodontitis. However, Perioscopy provides a minimally invasive alternative that can effectively clean deep pockets and remove infection without incisions, sutures, or the discomfort associated with surgical treatment.
Is Perioscopy Right for Me?

If you have one or more periodontal pockets deeper than 4mm, or signs of chronic gum inflammation, you may be an excellent candidate for Perioscopy. The goal is to achieve an exceptionally clean root surface so that your gums can heal and reattach naturally. Patients with early to moderate periodontitis or those looking to avoid surgery often benefit most.
How Long Does Treatment Take?
Because Perioscopy is highly detailed and precise, treatment sessions may take slightly longer than a standard hygiene appointment. Most cases are completed in one to three visits, depending on the severity of the gum disease and the number of areas treated.
Is Perioscopy Expensive?
Perioscopy is less costly than traditional gum surgery. Patients frequently report that the treatment is a worthwhile investment, helping them save their natural teeth and restore gum health with far less discomfort and recovery time.
Why We Choose the Perioscope
The Perioscope has transformed periodontal care at our practice. Many patients who would have needed surgical procedures like bone grafting now experience equal or better results through this non-surgical alternative. Because it’s minimally invasive, re-evaluations can occur just a few months after treatment—helping patients return to their general dentist for routine care sooner.
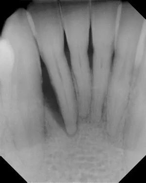
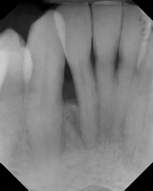
Before and After X-rays


Before and After Pocket Chartings
Click Here for Before Charting
“The Perioscope has transformed our practice into a predominately non-surgical periodontal practice. Patients who previously would have had treatment plans for osseous surgery and bone grafting can now have equivalent or sometimes better results through non-surgical therapy via the Perioscope.”
– Dr. Ryan Gifford
“Root planing without a Perioscope is like washing your car in the dark with a blindfold on. You’d be lucky to get half of the car clean.”
– Dr. David Trylovich
To learn more about Perioscopy or to find out if it’s right for you, contact Periodontics Limited in Las Vegas, Nevada today at 702-259-1943.