Gum recession is the progressive loss of gum tissue. It can occur at any stage of life, but is most common in adults over the age of 40. Gum recession is a gradual process, and can be difficult to diagnose in the earliest stages of development. For this reason, it is critical that you continue to visit your general or family dentist regularly so that the condition of your gums can be evaluated, and you can receive treatment before gum recession becomes a serious problem.
Some common symptoms of gum recession include:
- Root exposure
- Sensitive teeth
- Teeth that appear longer
- Inflammation and bleeding
- Halitosis (bad breath)
When you visit our office, our experienced periodontists will carefully evaluate your mouth to determine the cause of your gum recession and recommend an appropriate treatment. Some common causes of gum recession include:
- Overaggressive brushing
- Poor oral hygiene
- Periodontal disease
- Use of tobacco products
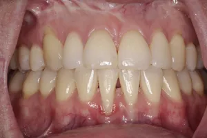
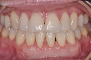
Before and After


There are a variety of treatments available to treat your gum recession. Depending on the severity of your condition, we may recommend anything from a softer toothbrush and gentler brushing technique, to regular prophylaxis (deep dental cleanings), or a surgical treatment (such as gum grafting, or the Chao Pinhole® Surgical Technique).
Please call Periodontics Limited today to schedule your appointment with Dr. Ryan Gifford, Dr. David Trylovich, Dr. Brian Mantor Dr. Dale Irving and learn more about our treatments for gum recession in Las Vegas, Henderson and Summerlin, Nevada. We are committed to helping you regain a healthy smile.